Over recent years, hyaluronic acid (HA) has established itself as the leading ingredient in aesthetic medicine, particularly for soft tissue reshaping and volumization. This incredible polysaccharide offers unique physicochemical properties, remarkable biocompatibility, natural biodegradability, and unparalleled versatility [1].
Its emergence has profoundly transformed the field of aesthetic treatments, offering a wide range of injectable options and skincare products.
Today, hyaluronic acid injection is undoubtedly the most popular non-invasive rejuvenation method [2]. It improves skin texture, smoothes out wrinkles, and restores lost volume. However, skin aging is a complex process involving multiple biological mechanisms. For a comprehensive and optimized approach, it is therefore particularly relevant to combine HA injection with the application of skincare products formulated with sophisticated active ingredients, capable of amplifying the results of HA injection and targeting complementary aging signs.
It was precisely with this in mind that Helena Rubinstein presented its latest scientific studies at the Aesthetic & Anti-aging Medicine World Congress (AMWC 2025 in Monaco). The brand unveiled the promising results of its Pro Filler serum, positioning it as the ideal complement to hyaluronic acid injections.
Replasty: A Coming Together of Expertise
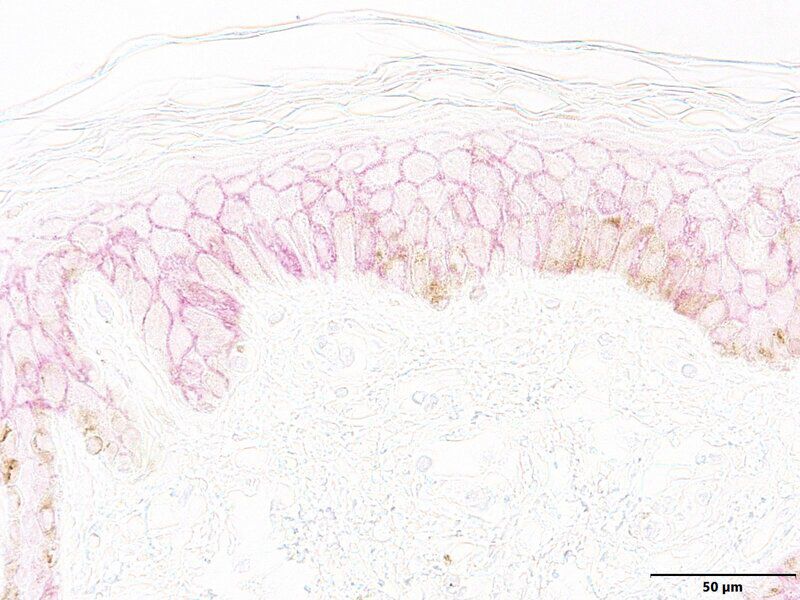
Helena Rubinstein conducted a rigorous ex-vivo study to evaluate the serum's efficacy. Skin samples were subjected to different conditions: untreated (serving as a reference), treated with Replasty Pro Filler serum alone, treated with HA filler injection alone, or treated with the combination of HA filler injection and Replasty Pro Filler serum.
Measurements included skin topography analysis (3D cartography acquired by Polytec TMS-500 light interferometer), precise instrumental measurements (by cutometer) and immunostaining. This holistic approach provided a global and detailed vision of the induced skin rejuvenation.
The results of this study are remarkable and demonstrate the synergistic impact of the serum:
- Perfect Compatibility and Volume Maintenance: The Replasty Pro Filler serum proved perfectly compatible with HA injection, and, more importantly, it helps maintain the volume initially induced by the injection.
- Similar Efficacy on Wrinkles: Surprisingly, the Replasty Pro Filler serum alone showed benefits comparable to those of the injection in terms of reducing wrinkle width.
- Unparalleled Additional Benefits: The serum provides additional results not obtained with injection alone:
- A 20% reduction in microrelief depth, contributing to a clear decrease in skin roughness.
- A 21% decrease in wrinkle depth, amplifying the filling effect.
- A 2.39-fold increase in Perlecan synthesis – a crucial protein for strengthening skin structure.
- A 77% increase in Collagen I production, fundamental for skin firmness and elasticity.
- Reduction of HA injection Effects: The Replasty Pro Filler serum helps mitigate certain post-injection effects. A 49% reduction in IL-1alpha (a key marker of inflammation) was observed from day one, indicating a significant decrease in skin inflammation.
- New Combined Benefits: The combination of the serum and injection revealed a 31% gain in skin tonicity compared to using the serum alone or the injection alone.
-49% inflammation reduction (IL-1alpha biomarker in pink) with Replasty Pro Filler serum
Replasty Pro Filler: Refine, Refill, Refirm for Perfected Skin Recovery
In summary, the Replasty Pro Filler serum is a true "needle-less filling complex." It replumps the skin from the first use and intensely corrects wrinkles in three dimensions:
- Refill: 21% reduction in microfold depth.
- Refirm: 13% reduction in microfold width.
- Refine (the skin surface): 20% improvement in skin roughness.
With its radical efficacy that goes beyond simple wrinkle treatment, Helena Rubinstein's Replasty Pro Filler serum positions itself as the ideal partner for your hyaluronic acid injections, for visibly younger and durably sublimated skin.
Tensing and Filling effect (microfold width and depth reduction) with Pro Filler serum
[1] A. Fallacara, S. Manfredini, E. Durini, S. Vertuani - Hyaluronic Acid Fillers in Soft Tissue Regeneration. Facial plasticsurgery, 2017, 33(1):87-96
[2] W. Baranska-Rybak, M. Antoszewska - Combination of hyaluronic acid fillers and personalized skincare as a perfect tool in aesthetic medicine. Dermatologic therapy, 2021
Audrey Gueniche
– Scientific Director
Audrey GUENICHE is a Doctor in Pharmacy and has a PhD in skin biology. She has a distinguished career of over three decades at L’Oréal in Research and Innovation. Her scientific contributions have been in the areas of topical and food supplements of skin, scalp, hair health and beauty. Audrey’s experience is extensive: from vitro to clinical trials, to open innovation and development. She has published over 130 papers in peer-reviewed journals, presented in 80 international congresses and, additionally, has been recognized and guest speaker in 50 plenary conferences. By embracing an innovative mindset, Audrey is passionate in finding new areas to promote actives and formulas, prove new claims and scientific communications, and reinvent evaluations. As HELENA RUBINSTEIN’s Scientific Director, Audrey pursues the brand’s long-standing avant-garde research and science.













